
Você pode estar apertando ou rangendo os dentes todos os dias… sem perceber. E o problema não é só o desgaste.

O bruxismo pode causar:
- dor constante
- dores de cabeça
- tensão na mandíbula
- alterações na mordida
- até fraturas dentárias
Muitas pessoas só descobrem quando o problema já avançou.
E é aí que o tratamento fica mais complexo.
O que é bruxismo?
O bruxismo é uma condição caracterizada pelo ato involuntário de apertar ou ranger os dentes, podendo ocorrer durante o sono (bruxismo noturno) ou ao longo do dia


Sintomas de bruxismo: como saber se você tem
Nem sempre é óbvio.
Na verdade, a maioria das pessoas não percebe.
Os sinais mais comuns incluem:
Dor na mandíbula ao acordar: Sensação de cansaço ou rigidez nos músculos da face.
Dores de cabeça frequentes: Principalmente na região das têmporas.
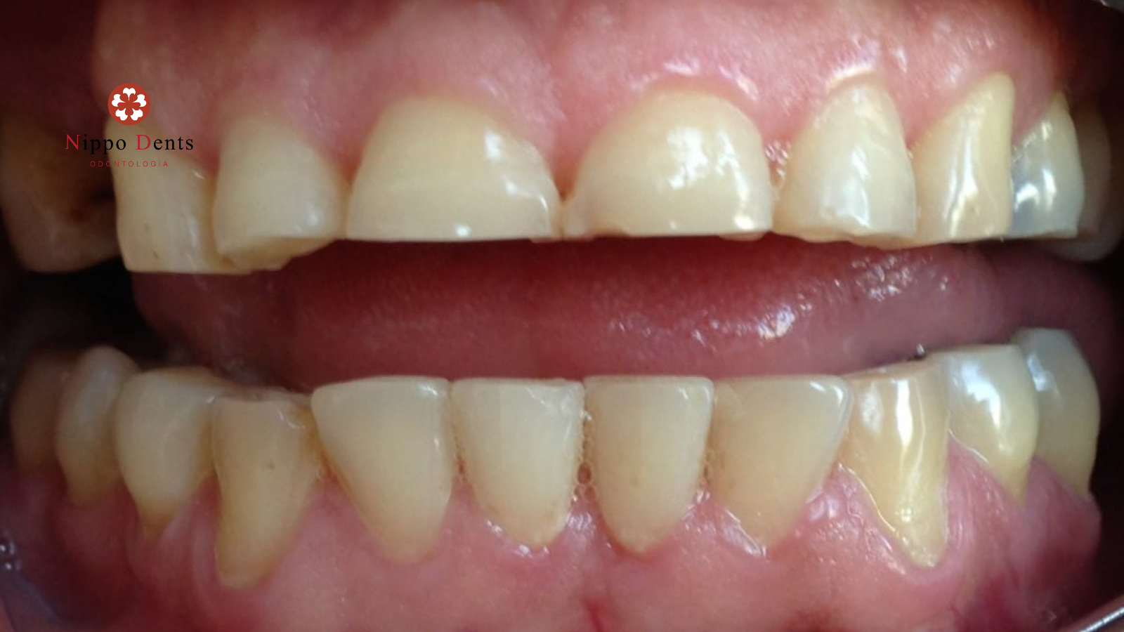
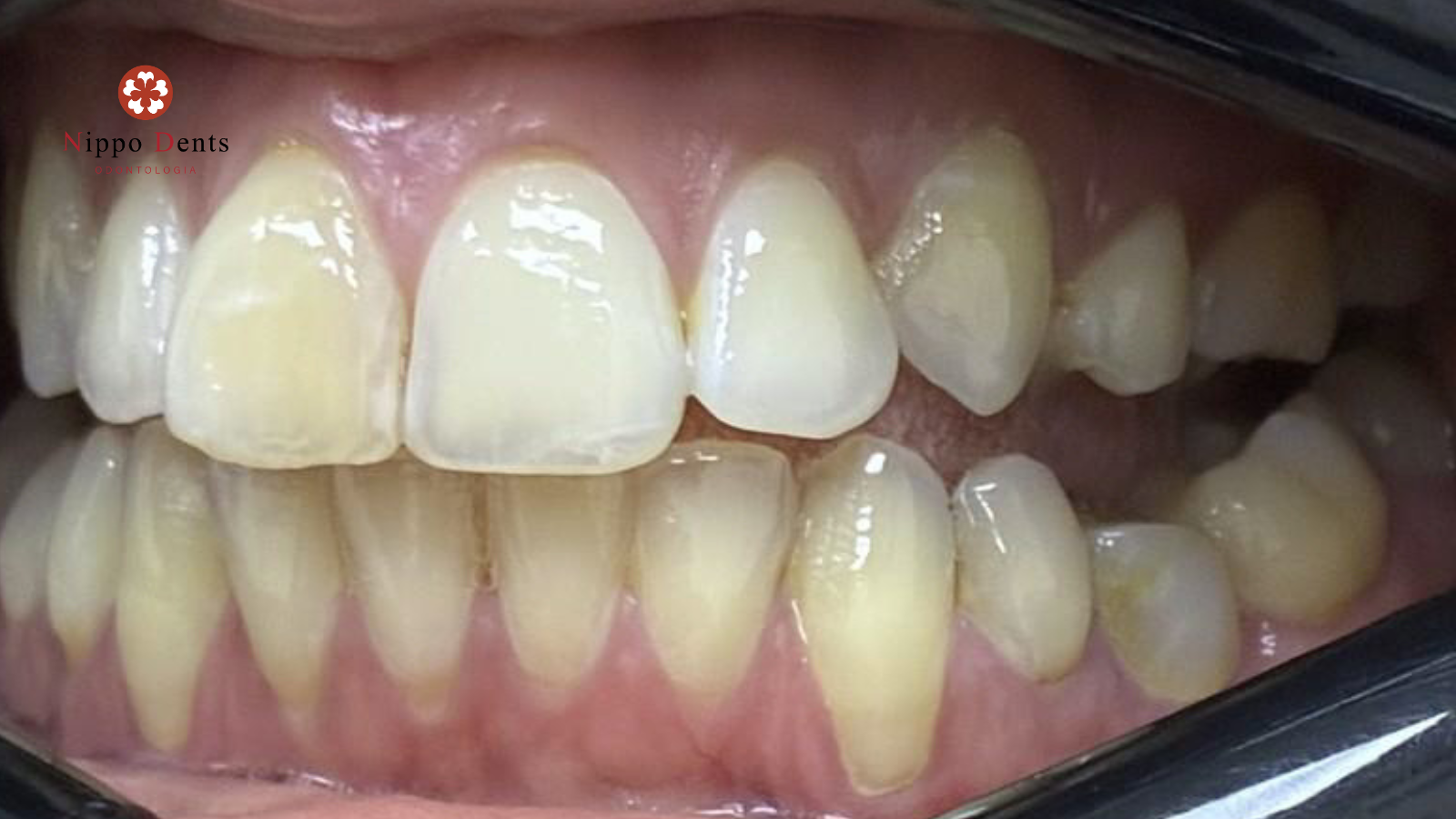
Desgaste dos dentes: Os dentes podem ficar mais curtos, planos ou sensíveis.
Sensibilidade dentária: Dor ao consumir alimentos frios, quentes ou doces.
Estalos ou tensão na mandíbula: Pode indicar sobrecarga da articulação (ATM).
Ruídos durante o sono: Muitas vezes percebido por quem dorme ao seu lado.
O que o bruxismo pode causar ao longo do tempo

Ignorar o problema pode levar a consequências mais sérias:
- fraturas dentárias
- retração gengival
- desalinhamento da mordida
- dor crônica na mandíbula
- disfunção da ATM
- comprometimento estético do sorriso
O problema não é só funcional é estrutural.
O que causa o bruxismo
O bruxismo não tem uma única causa. Ele é multifatorial.
Os fatores mais comuns incluem:
estresse e ansiedade
distúrbios do sono
respiração inadequada
desalinhamento dental
Por isso, tratar apenas o sintoma não resolve.
Bruxismo tem cura?
Depende da causa.
Mas existe algo importante que você precisa entender:
o foco não é apenas parar o ranger é tratar a origem do problema.
Como tratar o bruxismo de forma correta
O tratamento deve ser individualizado.
Na Nippo Dents, o tratamento pode envolver:
- Placas oclusais: Protegem os dentes durante o sono.
- Tratamento miofuncional (diferencial importante): Atua na reeducação da musculatura e da função oral.
- Controle de hábitos e fatores emocionais: Redução de gatilhos como estresse.
- Ajustes oclusais e alinhamento: Quando necessário.
Por que apenas usar placa não resolve em muitos casos
A placa protege. Mas não trata a causa.
Se o fator funcional continuar, o problema pode:
persistir
evoluir
gerar novos sintomas
Por isso, o tratamento moderno vai além.
A relação entre bruxismo e ATM
O bruxismo é uma das principais causas de sobrecarga na articulação temporomandibular.
Isso pode gerar:
dor ao abrir a boca
estalos
limitação de movimento
Quando procurar ajuda
Você deve procurar avaliação se:
acorda com dor na mandíbula
sente dores de cabeça frequentes
percebe desgaste nos dentes
sente tensão facial constante
Quanto antes tratar, mais simples é o processo.
Se você se identificou com algum desses sintomas:
Por que tratar o bruxismo na Nippo Dents Odontologia
Aqui você encontra:
diagnóstico completo
abordagem funcional (não apenas paliativa)
uso de tratamento miofuncional
acompanhamento contínuo
Nosso objetivo não é apenas aliviar é resolver.

Perguntas frequentes sobre bruxismo
Como saber se tenho bruxismo? Através dos sintomas e avaliação profissional.
Bruxismo tem cura? Depende da causa, mas pode ser controlado.
Placa resolve bruxismo? Protege, mas não trata a origem.
Bruxismo causa dor de cabeça? Sim, com frequência.
Pode desgastar os dentes? Sim, de forma progressiva.
Crianças podem ter bruxismo? Sim.
O primeiro passo é identificar a causa
O bruxismo não é apenas um hábito. É um sinal.
E quando você entende a causa, você consegue:
tratar corretamente
evitar desgaste
proteger sua estrutura dental
melhorar sua qualidade de vida

Se você suspeita de bruxismo, não espere os sintomas piorarem.
📍 Localização e atendimento
A Nippo Dents Odontologia está localizada no bairro de São Judas, em São Paulo, com fácil acesso pelas avenidas Jabaquara, Ricardo Jafet, Bandeirantes e Indianópolis, próxima ao metrô São Judas e à Igreja de São Judas.
Atendemos pacientes de toda a região, incluindo bairros como Saúde, Vila Monte Alegre, Praça da Árvore, Mirandópolis, Jabaquara, Vila Mariana, Chácara Inglesa, Planalto Paulista, Indianópolis, Moema, Campo Belo, Ipiranga, Bosque da Saúde e Vila Clementino.
Se você está em qualquer uma dessas regiões e busca um atendimento odontológico com tecnologia e acompanhamento especializado, a Nippo Dents pode te atender com conforto e praticidade.
Post Views: 49