A Displasia Cleidocraniana (DCC) é uma condição genética rara que afeta principalmente o desenvolvimento dos ossos e dos dentes. Embora seja pouco conhecida pela maior parte da população, ganhou grande visibilidade após o ator Gaten Matarazzo, o Dustin de Stranger Things, compartilhar abertamente sua experiência com a doença.
Como cirurgiã-dentista, vejo o quanto o acesso à informação pode trazer tranquilidade para as famílias e contribuir para diagnósticos mais precoces.
“Quando entendemos a origem de uma condição genética, conseguimos planejar com mais segurança e oferecer um cuidado mais humanizado.” 💙
Neste artigo, quero explicar de forma clara e responsável o que é a Displasia Cleidocraniana, quais seus sinais mais comuns, como é feito o diagnóstico e quais são as possibilidades de tratamento.

O que é a Displasia Cleidocraniana?
A Displasia Cleidocraniana é uma alteração genética causada, na maior parte dos casos, por mutações no gene RUNX2, responsável pela formação dos ossos do crânio, da face, das clavículas e da dentição.
Esse gene funciona como um “guia” para o desenvolvimento ósseo. Quando ele sofre uma alteração, os ossos podem se formar mais lentamente, de forma incompleta ou com características diferentes do padrão.
A DCC pode ser:
- Herdada de um dos pais
- Espontânea, sem histórico familiar
Independentemente da origem, o diagnóstico precoce faz toda a diferença para um acompanhamento mais seguro.
Principais sintomas da Displasia Cleidocraniana
A condição apresenta manifestações variadas. Algumas são bastante visíveis ainda na infância, outras tornam-se mais evidentes na troca dentária.
Sinais ósseos
- Clavículas ausentes ou pequenas
- Capacidade de aproximar os ombros exageradamente
- Fontanelas (moleiras) que demoram a fechar
- Face mais estreita
- Leve redução de estatura
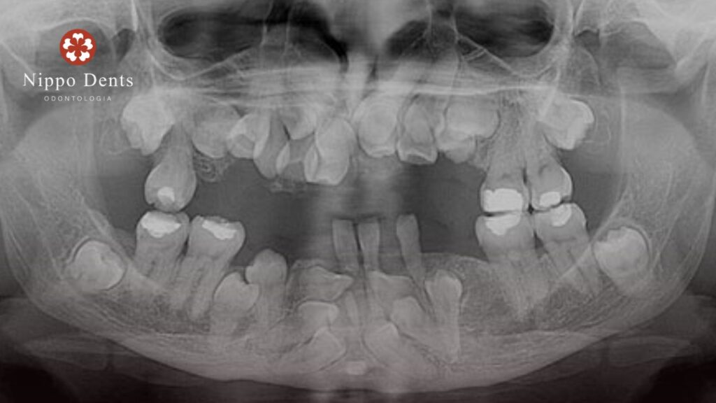
Sinais dentários — o ponto de maior impacto clínico
- Atraso significativo na queda dos dentes de leite
- Dentes permanentes que não erupcionam
- Dentes supranumerários (excesso de dentes)
- Mordida aberta ou desalinhada
- Dentes inclusos que exigem tracionamento
“É muito comum que os primeiros sinais apareçam na dentição. Quando percebemos atraso importante ou um número muito acima do normal de dentes, a investigação deve ser iniciada.” 🦷

Como a Displasia Cleidocraniana é diagnosticada?
O diagnóstico envolve:
1. Avaliação clínica detalhada
Observamos características faciais, claviculares e dentárias.
2. Exames de imagem
- Radiografias panorâmicas
- Radiografias periapicais
- Tomografia computadorizada 3D (fundamental para planejamento)
3. Avaliação odontopediátrica e ortodôntica precoce
4. Teste genético (opcional)
É indicado principalmente em casos familiares ou quando há necessidade de confirmação formal.
“Quanto mais cedo iniciamos o acompanhamento, menor tende a ser a complexidade das intervenções.”
Tratamento para Displasia Cleidocraniana: abordagem multidisciplinar
A DCC não tem cura, porque é genética. Mas o tratamento melhora função, estética, respiração e qualidade de vida, especialmente quando realizado de forma integrada.
Odontologia e Ortodontia
- Remoção de dentes supranumerários
- Exposição cirúrgica de dentes permanentes
- Tracionamento ortodôntico
- Correção de mordida
- Acompanhamento até a fase adulta
Cirurgia Bucomaxilofacial
- Acesso a dentes inclusos profundos
- Correções ósseas quando necessárias
Fonoaudiologia
- Treino de respiração nasal
- Função mastigatória e deglutição
- Melhora da fala
Otorrinolaringologia
- Avaliação das vias aéreas
- Monitoramento de ronco e apneia
Apoio psicológico
- Importante principalmente entre crianças e adolescentes, por causa da autoestima.
“O cuidado com a Displasia Cleidocraniana é um caminho contínuo, que acompanha o crescimento e o desenvolvimento. Trabalhamos por etapas, sempre respeitando o tempo biológico de cada paciente.”

Evolução da condição: o que esperar ao longo da vida?
Infância
- Primeiras avaliações
- Identificação de dentes extras
- Planejamento inicial
Adolescência
- Cirurgias de exposição
- Ortodontia ativa
- Ajustes respiratórios
Vida adulta
- Reabilitações estéticas
- Avaliação da função mastigatória
- Acompanhamento anual
A expectativa de vida é totalmente normal — e a condição não afeta inteligência.

O ator Gaten Matarazzo e a importância da representatividade
O intérprete do personagem Dustin, em Stranger Things, nasceu com Displasia Cleidocraniana e passou por diversas cirurgias odontológicas ao longo da vida. Ele decidiu falar sobre o assunto publicamente.
O impacto disso foi enorme:
- Milhares de jovens pelo mundo reconheceram os sintomas e buscaram diagnóstico.
- A condição deixou de ser invisível.
- O tema ganhou espaço na mídia e nas redes sociais.
- Criou uma ponte de empatia entre pacientes e profissionais.
“Quando um paciente se sente visto e compreendido, o tratamento se torna mais leve. Representatividade é uma forma de cuidado.”
Perguntas frequentes sobre Displasia Cleidocraniana (FAQ SEO)
A Displasia Cleidocraniana tem cura?
Não. Mas há tratamentos eficazes para melhorar função, estética e bem-estar.
Quem tem DCC pode ter uma vida normal?
Sim. Expectativa de vida, escola, trabalho e rotina não são afetados.
A doença sempre causa muitos dentes extras?
Em grande parte dos casos, sim, mas a quantidade varia.
Quando procurar um especialista?
Quando houver atraso importante na dentição, excesso de dentes ou sinais ósseos característicos.
Cuidados diários para quem tem DCC
- Boa higiene oral
- Acompanhamento ortodôntico constante
- Avaliação da respiração
- Exercícios miofuncionais
- Radiografias periódicas
Se você ou alguém da sua família percebe que o desenvolvimento do sorriso não está seguindo o tempo esperado, saiba que não precisa passar por isso sozinho.
Uma avaliação cuidadosa ajuda a trazer clareza, tranquilidade e um direcionamento seguro para cada fase da vida.
Entre em contato com a nossa equipe pelo WhatsApp e agende uma consulta de avaliação.
Será um prazer te orientar com atenção, respeito e cuidado.
Outros posts:
- É Normal Sentir dor após o Implante Dentário?
- Sensibilidade após Clareamento Dental: Como Amenizar?
- Como Funciona a Prótese Protocolo e Quais São as Vantagens?
